

Receding gums are more than a cosmetic concern—they can expose sensitive tooth roots, increase the risk of decay, and affect your oral health and comfort. At Council Oak Perio in Austin, we specialize in gum recession treatment with advanced techniques and a patient-focused approach. Our goal is to protect your teeth, restore lost tissue, and help you maintain a healthy, confident smile.
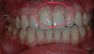
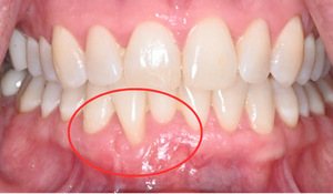
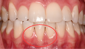
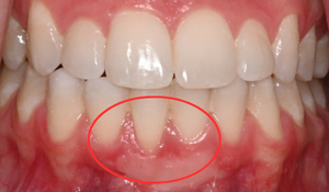
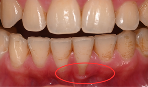
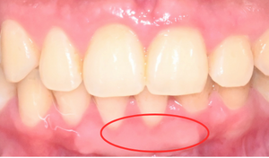
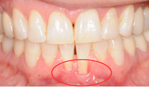
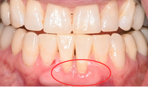
Gum recession occurs when gum tissue pulls away from the teeth, revealing more of the tooth or its root surface. This can lead to heightened sensitivity, visible changes in your smile, and increased vulnerability to cavities at the gumline. Genetics, aggressive brushing, teeth grinding, or untreated inflammation can all play a role.

When gum recession is left unaddressed, exposed roots can become damaged or decayed and gum tissue may continue to recede. Early intervention protects your teeth, improves your comfort, and prevents the condition from progressing.
You may benefit from a professional evaluation if you notice:
Your treatment is usually completed in three simple steps:
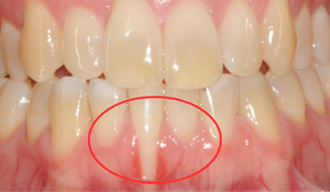
Following a gum graft, proper home care is crucial for achieving the best outcome, especially during the first two weeks after the procedure. You will receive detailed post-treatment instructions, which will include specific oral care guidelines, avoiding tobacco, avoiding alcohol, and attending your follow-up appointment to ensure proper healing.












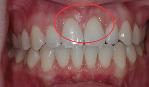
Our experienced team offers a full range of treatments to address gum recession. Dr. Bingham will carefully review your options and recommend the best approach for your unique situation. Using minimally invasive techniques and state-of-the-art technology, we can restore gum health, protect your teeth, and enhance the appearance of your smile.Depending on the severity of your gum recession, treatment may involve a surgical gum graft. Dr. Bingham, our board-certified periodontist, prioritizes your comfort every step of the way. Most patients enjoy a smooth, quick recovery.

Dr. Bingham and the team at Council Oak Perio have advanced training and extensive experience in treating gum recession. As a trusted periodontal practice in Austin, we provide meticulous, individualized dental services to help every patient achieve healthy, stable gums and a confident smile.
Call our office or book online today to schedule a consultation and learn how our gum recession treatments can restore and protect your oral health.
Partnering with a periodontist for gum recession treatment brings the greatest level of expertise and skill to restoring your gum health. Periodontists are experts in treating gum issues such as recession, and are the specialists general dentists and other dental practitioners trust to restore health and esthetics to the smile after gum recession. At Council Oak Dental Implants & Periodontics, we are proud to deliver the highest standard of care to every patient who walks through our doors. Dr. Bingham is extremely meticulous in his approach and has advanced training and expertise in treating gum recession with precision-performed gum grafting procedures. As the trusted periodontal practice in our community, Dr. Bingham and our team are ready to provide relief from your gum recession and help you enjoy the confident, healthy smile you deserve.